Blocked young heart and Doctor Yogesh|Jamage Heart Centre|Shivaji Road,Miraj
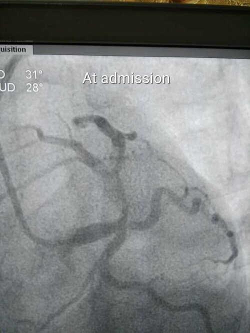
Blocked young heart and Doctor Yogesh
धकाधकीच जीवन , वाढलेली स्ê...
Case study of a 90 year old bold women - Dr. Yogesh Jamage|Jamage Heart Centre|Shivaji Road,Miraj
Case study of a 90 year old bold women - Dr. Yogesh Jamage
माणसाच्या वयाच्या सत्तर&...
Rare case with rare presentation in COVID-19 pandemic|Jamage Heart Centre|Shivaji Road,Miraj
Dr. Yogesh Jamage - right renal artery angioplasty (PTRA) case
२९ वर्षाच्या युवक ,त्यानí...
Subsequent Heart Attack after COVID - Dr. Yogesh Jamage|Jamage Heart Centre|Shivaji Road,Miraj
Subsequent Heart Attack after COVID - Dr. Yogesh Jamage
एल आय सी एजन्ट म्हणुन काम &#...
Gastric Angioplasty - Dr. Yogesh Jamage|Jamage Heart Centre|Shivaji Road,Miraj
Gastric Angioplasty - Dr. Yogesh Jamage
गुंजेगावची वंदना , तिला गí...
Doctor\'s Day celebration with Heart Attack Patient|Jamage Heart Centre|Shivaji Road,Miraj
Doctor's Day celebration with Heart Attack Patient
40 yr male diabetic patient ,came with Acute Anterior wall Myocardial Infarction ( Heart attack) with cardiogenic shock ( low blood pressure) at 7: 30...
Case study of a Patient - Dr. Yogesh Jamage|Jamage Heart Centre|Shivaji Road,Miraj
Case study of a Patient - Dr. Yogesh Jamage
पाचेगाव ( सोलापुर जिल्हा) ...
?
Ask Question
AboutMyClinic
SmartSite created on AboutMyClinic.com
Site-Help | Disclaimer