Jamage Heart Centre|Shivaji Road,Miraj
Rapid Life-Saving Primary Angioplasty Case | Dr. Yogesh Jamage
Dr. Yogesh Jamage, leading Consultant Interventional Cardiologist in Miraj–Sangli, successfully managed a high-risk cardiac emergency by perform...
Jamage Heart Centre|Shivaji Road,Miraj
Successful Treatment of Critical Limb Ischemia | Dr. Yogesh Jamage
Dr. Yogesh Jamage, leading Consultant Interventional Cardiologist in Miraj–Sangli, successfully treated a challenging case of thrombotic occlusi...
Jamage Heart Centre|Shivaji Road,Miraj
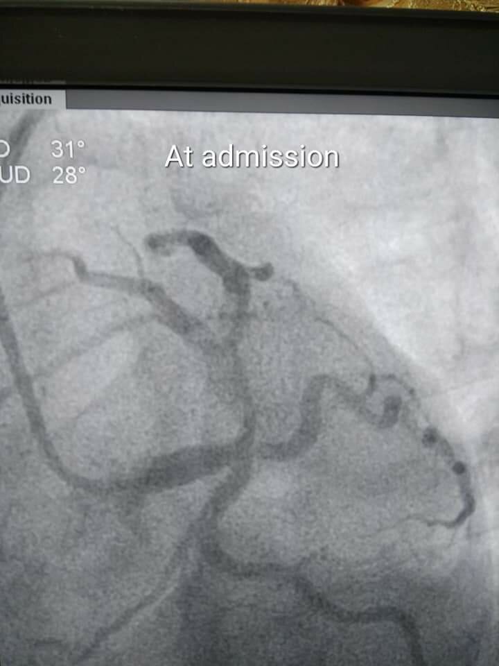
Life-Saving Emergency Angioplasty Case |Dr. Yogesh Jamage
Dr. Yogesh Jamage, a trusted Cardiologist Shivaji-Road, Miraj, recently saved the life of a patient who arrived at Spandan Hospital at 1:45 am with se...
Jamage Heart Centre|Shivaji Road,Miraj
Successful ASD Device Closure Case | Dr. Yogesh Jamage
Dr. Yogesh Jamage, leading Consultant Interventional Cardiologist in Miraj–Sangli, successfully treated a 35-year-old patient with a large ostiu...
Jamage Heart Centre|Shivaji Road,Miraj
Dr. Yogesh Jamage Treats ASD with Minimally Invasive Care
Dr. Yogesh Jamage, Consultant Interventional Cardiologist in Miraj-Sangli, successfully treated a 35-year-old patient with a large ostium secundum typ...
Jamage Heart Centre|Shivaji Road,Miraj
Case Study: Thrombotic Occlusion of the Superficial Femoral Artery | Dr. Yogesh Jamage
A 65 - year-old male presented to the clinic with complaints of worsening leg pain, especially while walking, which had progressively limited his mobi...
Jamage Heart Centre|Shivaji Road,Miraj
35 Years old man heart revived in Miraj | Dr. Yogesh Jamage
Consultant Interventional Cardiologist in Miraj, Dr. Yogesh Jamage is glad to share a news with you. A Sucessful angioplasty was performed on 35 years...
Dr Yogesh Jamage - Cardiologist|Jamage Heart Centre|Shivaji Road,Miraj
100 year old undergoes Angiography
100 year undergoes Angiogarhy For 100 yrs angioplasty is possible... 100 yrs old( Birth Year 1921) young dynamic chap came with ACS NSTMI Dr Jamage ...
Sometimes need a Stent for the Hypertension|Jamage Heart Centre|Shivaji Road,Miraj
Sometimes patient needs a Stent for the Hypertension
50 year female  came with resistant Hypertension. Her Blood pressure was not controlled  even by 4 drugs.(B.P.180/ 100) .  Renal angiog...
Sometimes Angioplasty is not a solution because Every Life Matters|Jamage Heart Centre|Shivaji Road,Miraj
Sometimes Angioplasty is not a solution
A 28 year male patient diagnosed as hyperacute myocardial infarction (AWMI) referred from periphery for the further management.  Primary angiopla...
Heart attack and Doctor|Jamage Heart Centre|Shivaji Road,Miraj
Heart attack and Doctor
रमेश काका पाहुण्यांच लग्...
Accurate diagnosis which saved a life - Dr. Yogesh Jamage|Jamage Heart Centre|Shivaji Road,Miraj
Accurate diagnosis which saved a life - Dr. Yogesh Jamage
नेताजी काकांना बर्याच वर...
?
Ask Question
AboutMyClinic
SmartSite created on AboutMyClinic.com
Site-Help | Disclaimer